Хамрын мэс заслын 3D дүрслэл, хамар засах мэс заслын өмнөх болон дараах өөрчлөлтийг харуулсан зураг.

3D захиалгат ринопластикийн загварчлал

3D захиалгат ринопластик

Энэ процедур нь өвчтөний зураг болон CT өгөгдлийг ашиглан захиалгат суулгац бүтээдэг. 3D захиалгат хамрын гоо сайхны мэс засал нь өндөр аюулгүй байдлыг хангаж, дахин засварын мэс заслын эрсдэлийг бууруулдаг.

Өвчтөний хамрын ясанд яг таарсан суулгац үйлдвэрлэснээр энэ арга нь нийтлэг хүндрэлийг эрс багасгадаг.

Хамрын гоо сайхны мэс засал

Захиалгат дизайн

Нарийвчилсан шинжилгээ

345 Youtube 3D захиалгат хамрын мэс заслын видеог үзээрэй

Захиалгат имплант ашигласан хувь хүнд тохирсон хамрын мэс заслын талаар илүү дэлгэрэнгүй мэдээлэл аваарай.

345 YouTube
Дижитал панорамик болон цефалометрийн рентген аппарат нь шүдний болон эрүү нүүрний оношлогоонд зориулагдсан.

3D CT сканнер

Өвчтөний хамрыг 3D CT сканнераар олон өнцгөөс шинжилж, төгс тохирсон суулгац бүтээдэг.

Нэгдүгээрт, нарийвчилсан шинжилгээ ба мэс заслын төлөвлөлт

Мэс заслын төлөвлөгөө гаргахын тулд мэс заслын өмнөх нарийвчилсан шинжилгээ хийдэг.

Хоёрдугаарт, CT дүрслэлд суурилсан суулгацын загвар

Суулгацыг CT сканнераас гаргаж авсан хамрын яс, мөгөөрсний анатомийн муруйг харгалзан зохион бүтээж, суулгах алдааг багасгадаг.

Гуравдугаарт, захиалгат дизайныг нэгтгэх

Мэс заслын өмнө таамагласан хамрын шугамыг бүтээж, байгалийн болон хувь хүнд тохирсон ринопластикийн үр дүнг бий болгодог.

3D захиалгат ринопластик

3D захиалгат ринопластик нь гоо зүйн болон үйл ажиллагааны аль алиныг нь хамардаг.

3D CT нь хамрын гоо зүйн болон үйл ажиллагааны талыг нарийвчлан шинжилж, үнэлэх боломжийг олгодог. Өвчтөний хэрэгцээнд үндэслэн хамрын үндсээс үзүүр хүртэлх мэс заслын төлөвлөгөөг урьдчилан загварчилж, нарийн тохируулдаг.
Хажуугийн харагдах байдал, хамар, нүд, хөмсөг бүхий эмэгтэй хүний ​​нүүрний хэсгийн зураг дээр хамар өргөх мэс заслыг харуулсан байна.
Мэс заслын өмнө ба дараа

3D захиалгат ринопластикийн өмнө ба дараах зургууд.

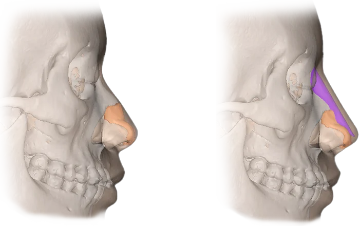
Хүний гавлын ясны хажуугийн дүрслэл дээр хамар заслын үеийн мөгөөрс болон ясны хэсгийг өнгөөр ялган харуулсан байна.
Нүүрний араг ясны хажуугийн дүрслэл дээр хамар засах мэс заслын үед хэрэглэгдэх хэсгүүдийг өнгөөр ялган харуулсан байна.
Энэ бол нүүрний контур заслын 3D дүрслэл бөгөөд хамар, эрүү, гавлын ясыг харуулсан байна.

Стандарт суулгац

Эрүүний шугам лифтинг мэс заслын 3D дүрслэл, булчин болон арьсны өнгө ялгаатайгаар харагдаж байна.

3D захиалгат суулгац

3D захиалгат ринопластик

Муруйлт, тунгалаг байдал, шилжилт хөдөлгөөнөөс сэргийлэх төгс суулгац.

Захиалгат суулгацыг өвчтөний хамрын бодит хэлбэрт үндэслэн тусгайлан зохион бүтээдэг. Ингэснээр алдаа гарах эрсдлийг багасгаж, төгс тааруулснаар муруйлт, суулгацын тунгалаг байдал эсвэл шилжилтээс сэргийлдэг.

Стандарт суулгац

Бөөнөөр үйлдвэрлэсэн, урьдчилан хэмжсэн, мэс заслын үеэр тайрсан Суулгацын хөдөлгөөн, хүндрэлийн эрсдэл Муу тохирол, урт мэс заслын хугацаа
Хөндлөнгийн харагдах байдлаар хамар өргөх мэс заслын анатомийн зураг, хамар, арьс, мөгөөрс, зөөлөн эдийг тодотгосон.
Хамрын үзүүрийг өргөх мэс заслын хажуугийн харагдах байдал, хамрын хэлбэрийг өөрчлөх боломжтой.

3D захиалгат суулгац

Нарийвчилсан шинжилгээнд үндэслэсэн захиалгат суулгац Найдвартай суурилуулалт нь хүндрэлийг багасгана Өвчтөний тусгай хэрэгцээг тусгасан байгалийн хамрын шугам
Fitme nutrition-ий лого, ягаан өнгийн фонттой, хар дэвсгэр дээр бичигдсэн байна.
Innofit лого, гоо сайхны мэс заслын эмнэлэг, нүүр өргөх мэс засал, эрүүний шугам лифтинг, мини лифтинг, нүүрний контур, лифтинг.
Хамрын мэс заслын анатомийн зураг, хамрын хэлбэр, хэмжээг өөрчлөх мэс ажилбар, хамрын гоо сайхны мэс засал.
Хөндлөн огтлолын хажуугийн харагдах байдал, хамар өргөх мэс заслын анатомийн бүтэц, булчин, мөгөөрс, арьсыг харуулсан зураг.

Хамрын пластик мэс заслын үйл явц

Манай 3D захиалгат ринопластик нь стандарт бөөнөөр үйлдвэрлэсэн суулгацын сул талыг арилгадаг.

Манай 3D захиалгат ринопластик нь стандарт бөөнөөр үйлдвэрлэсэн суулгацын сул талыг арилгадаг.
Энэ зурагт нүүр өргөх мэс заслын үр дүнг харуулах зорилгоор хүний нүүрний 3D загварыг тор хэлбэрээр дүрсэлсэн байна.

Нэгдүгээрт, 3D CT сканнер

Бид мэс заслын өмнөх 3D CT сканнераар хамрын нарийн бүтцийг үнэлдэг.
Эмэгтэй хүний хажуугийн зураг дээр хамар, эрүүний хэлбэрийг харуулсан шугамтай, нүүрний контур, лифтинг мэс заслын зураг.

Хоёрдугаарт, зөвлөгөө

Зөвлөгөө нь өвчтөний хэрэгцээ, хүссэн хамрын шугамыг бүрэн ойлгох боломжийг олгодог.
3D принтерийн зураг. 3D принтер нь прототип болон функциональ эд ангиудыг бий болгохын тулд дижитал загвараас материал нэмдэг.

Гуравдугаарт, захиалгат суулгац үйлдвэрлэл

Захиалгат 3D суулгацыг өвчтөний хамрын бүтэц, хэрэгцээнд тулгуурлан зохион бүтээдэг.
Мэс заслын ширээ болон гэрэлтүүлэгтэй, эрүүл мэндийн үйлчилгээнд зориулсан орчин үеийн тоног төхөөрөмж.

Дөрөвдүгээрт, мэс засал

Суулгацыг бэлтгэсний дараа мэс засал хийдэг.

Хамрын пластик мэс заслын мэдээлэл

3D захиалгат ринопластикийн товч танилцуулга

345 Солонгос гоо сайхны мэс засал төвд өвчтөн бүрт төгс тохирсон суулгацыг ашиглан 3D захиалгат хамрын мэс засал хийдэг.

Зургийг тайлбарлах боломжгүй байна.

Мэс заслын хугацаа

2 цаг

Харанхуй дэвсгэр дээрх ногоон, улаан, цэнхэр цэгүүд нь нүүр өргөх мэс заслын үр дүнг харуулсан гэрэл зураг юм.

Мэдээ алдуулах

Тайвшруулах

Уучлаарай, би энэ зургийг тайлбарлах боломжгүй байна.

Хэвтэх хугацаа

Тухайн өдөртөө гарна

Уучлаарай, би энэ зургийг тайлбарлах хангалттай мэдээлэлгүй байна.

Дахин үзлэг

2 удаагийн үзлэг

Уучлаарай, би энэ зургийг тайлбарлах хангалттай мэдээлэлгүй байна.

Сэргэлт

2 долоо хоногийн дотор

345 Plastic Surgery logo where natural results are the goal. Triangle, square, and circle above text.

Санал болгож буй зорилт

Эдгээр хүмүүст санал болгож байна

Та мэс заслын талаар санаа зовж байна уу?
Чөлөөтэй асуугаарай!

01

Нэгдүгээрт, захиалгат суулгац

For those who want to design their own implant.

02

Хоёрдугаарт, хүндрэлийн талаар санаа зовж байна

Хүндрэлийн талаар санаа зовж хамрын мэс засал хийх талаар эргэлздэг хүмүүст.

03

Гуравдугаарт, мэс заслын дараах хүндрэлүүд

Өмнөх суулгацын хүндрэлээс шалтгаалан засвар мэс засал хийх гэж байгаа хүмүүст.

04

Дөрөвдүгээрт, янз бүрийн хамрын төрөлд тохируулсан

Бөгтөр хамар, хавтгай хамар болон бусад онцлогт захиалгат ринопластик хийлгэхийг хүсдэг хүмүүст.

Яаж, яагаад

Ринопластикийн талаар байнга асуудаг асуултууд.

Агшилт нь ихэвчлэн силикон эсвэл Gore-Tex зэрэг суулгацын үрэвслээс үүдэлтэй. Засвар мэс засалд суулгацыг дахин ашиглахаас зайлсхийхийг зөвлөдөг. Хэрэв агшилт суулгацтай холбоотой бол суулгацыг авч, түүнгүйгээр мэс засал хийх нь стандарт арга юм.

Суулгац хэрэглэх эсэх нь хувь хүний сонголт. Гэвч суулгацгүйгээр хамрын гүүрийг өндөрсгөх боломж хязгаартай бөгөөд энэ талаар зөвлөгөөний үеэр тайлбарлана. Хэрэв хамрын гүүр дундаж өндөртэй бол хамрын үзүүрийг тодруулснаар хамар илүү онцгой харагдах боломжтой тул имплантгүй хамрын гоо сайхны мэс засал сонгох нь зүйтэй сонголт болно.

Суулгац нь доод ясанд тулгуурладаг тул хамрын гүүр нурах нь ховор. Гэхдээ хамрын үзүүр гүүрнээс доогуур байвал үзүүр унжсан мэт харагдаж болно. Хэрэв өвчтөн хамрын үзүүр унжих хандлагатай бол гүүрний өндрийг тохируулах эсвэл дэмжлэгийн материал ашиглах нь эрсдэлийг багасгана. Гэвч таталцлын байнгын нөлөө болон хөгшрөлтөөс шалтгаалан 10-20 жилийн дараа шөрмөс болон эргэн тойрны эд суларч, үзүүр унжих боломжтой. Мэс засал хийгээгүй ч нас ахих тусам хамар байгалийн жамаараа унжилттай болдог.